Authors: C.A. Reynolds
This paper was presented at Corrosion & Prevention 2023.
TECHNICAL PAPER
The “new asbestosis” theme is at fever pitch on social and professional work platforms -instigated by some for discerning interests, the risk of operator terminal illness caused from silicosis by cut stone and gem stone, is front of mind. This sudden awareness of exposure risks from silica contained in engineered stone productions casts a fresh light upon industrial abrasive media used for surface preparation – that it is unhealthy, and may cause terminal conditions to unaware users. This paper provides a baseline analysis of the causes, consequences and conditions for improving the lot of the abrasive blast contractor – and his painter always a few steps nearby. Our intention is to remove mis-information and share knowledge of safe free silica use, how it is regulated and stabilised as a media for the Corrosion Control and Protective Coating Industries. How it arrives, how it is managed and processed, away from Harm’s Way.
Keywords: silica, surface preparation, protective coating
INTRODUCTION
The term “sandblasting” is an original and precise definition– in reality, up until the mid 1980’s it was common beach or river sand that was literally propelled using high pressure compressed air for removing corrosion and old coatings from steel structures. By itself, beach sand contains 95% Silica, – one of the most common minerals in the earth’s crust. Glass, beach sand, silicone, and granite are all silica based materials. ‘Silica’ refers to a specific chemical compound, silicon dioxide, with the chemical formula SiO2. Quartz is a naturally occurring crystalline mineral that primarily consists of silica but contains some impurities. [1] Due to the high silica content in beach sand, and the explosive shattering effect of blasting upon steel, it was discovered that that free crystalline silica is released into the environment as dust. As a respirable dust, the elements were discovered to cause disease in human lungs. When workers inhale the free crystalline silica, the lung tissue reacts by developing fibrotic nodules and scarring around the trapped silica particles. This fibrotic condition of the lung is called silicosis. When the nodules grow too large, breathing becomes difficult, and it may result in death. Silicosis victims are also at high risk of developing other chronic diseases such as lung cancer, chronic bronchitis, tuberculosis. [2] The consequence being eventual death by suffocation. Sand, was banned.
PRESENTATION
As a consequence of health affects upon workers through exposure to free silica dust, in Australia, Safe Work Australia provide Regulations and reference Standards that Operators should be aware of, and comply to meet Safety in the work place.
Lung diseases of Silicosis and progressive massive fibrosis are irreversible and often fatal.
Activities that release silica dust into the air include: [3]
- fabrication, installation, maintenance and removal of engineered stone countertops
- paving and surfacing
- mining, quarrying and mineral ore treating processes
- construction labouring and demolition
- brick, concrete or stone cutting; especially using dry methods
- abrasive blasting (blasting agent must not contain greater than 1 per cent of crystalline silica)
- angle grinding, jack hammering and chiselling of concrete or masonry
- clean-up activities such as sweeping or pressurised air blowing of dust.

Figure 1: Sandblast Dust example of potential silica dust generation.[4]

Figure 2: Grinding, sanding or cutting of stone or concrete are examples of potential silica dust generation.
Did you know?
Over 587,000 Australian workers were exposed to silica dust in 2011.
Across construction sites, shipping yards, even the home renovation project, exposure to silica dust can cause severe adverse health effects, including silicosis and lung cancer.
A risk no worker should have to take. When silica is used as an abrasive material, it can become airborne in the form of respirable crystalline silica (RCS) particles, which are small enough to be inhaled into the lungs.
The levels of silica in abrasive blasting can vary depending on several factors, including the type of abrasive material used, the blasting equipment and techniques, and the duration and frequency of the blasting process. [5]
In 2020, Safe Work Australia released an updated code of practice, placing duty of care of those who have a role in managing the risks of abrasive blasting.
These Regulations include a level of acceptable Free Silica content in blast abrasives.
From project designers, steel fabrication shops and suppliers to company directors and contractors, all have a duty of care for their own, their workers, and any others health and safety on site.
Chronic silicosis typically occurs after 15-20 years of occupational exposure to respirable silica.
In extreme exposure, acute silicosis can develop within months of exposure to high concentrations of silica.
Symptoms of silicosis include shortness of breath, severe cough, weight loss, chest pain, bluish coloration, and in some cases fever. Symptoms of these diseases may not appear for many years after exposure.
Workers may be diagnosed with these diseases and not present with any symptoms, even at the point of initial diagnosis, which is why prevention and health monitoring are critical.

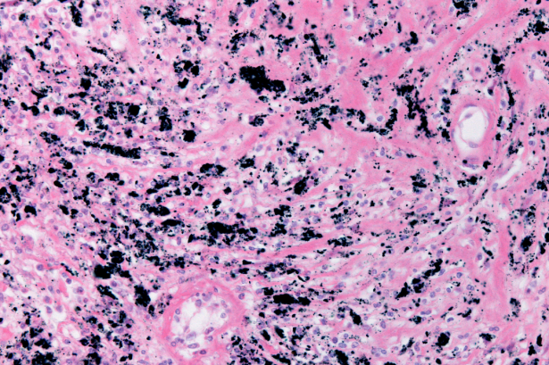
Figure 3: Illustration of Silicosis condition within the human lung
Other abrasive media types were eventually accepted into the Corrosion Control Industry, based upon Health, rather than Wealth.
Alternatives were found in natural mineral garnets, steel grit or chilled iron grit abrasives, some are by-products and waste types of coal or ferrous slags, as substitutions.

Some of these options may contain Heavy Metals such as arsenic, molybdenum, cadmium and …. silica.

Figure 4: Comparison of silica mineral content of various garnet abrasives [6]

Figure 5: Comparison of dust residues upon blasted steel from 2 abrasive types. [7]
The Safe Work, Code of Practice states that:
- Materials with more than 1%* free crystalline silica should not be used for abrasive blasting. * reference from ISO 11126-10:2017, SSPC-AB1 (NIOSH Method 7500) that outlines free crystalline silica limits.[7]
- Respirable crystalline silica (silica dust) limits have changed from 0.1 mg/m3 to 05 mg/m3
The 0.05 mg/m3 free crystalline silica limit states the concentration of an airborne hazardous chemical (e.g. respirable crystalline silica) within a worker’s breathing zone should not cause adverse health effects or undue harm.
Compliance with the Workplace Exposure Standard (WES)is required under the Commonwealth, state and territory Work Health and Safety (WHS) laws. [8]

FIGURE 6: EXTRACT OF SAFE WORK REGULATION 381.
Silicosis is caused by cumulative or repeated exposure to respirable crystalline silica, it makes sense that we would want to limit exposure.
This means that workers should not be exposed to more than 0.05mg/m3 (50 micrograms per cubic metre) silica dust over an eight-hour working day (i.e. time weighted average) for a five day work week.
Personal Exposure Limit (PEL) and Time Weighted Average (TWA) are measurements of exposure.
Devices are available for measurement, or an Industrial Hygienist would be of assistance in assessing Worker Zone respiratory levels.

Figure 7: Devices are available for dust measurement, or an Industrial Hygienist would be of assistance in assessing Worker Zone respiratory levels.
The Australian Code of Practice (Abrasive Blasting) issued by Work Safe Australia, is clear in it’s Regulation for monitoring airborne contaminants, and record keeping of 30 years.

Figure 8: Exert from Code of Practice (Abrasive Blasting).
RESULTS
Exposure to silica dust can result in:
- illness and disease
- for example sarcoidosis, breathing problems, chronic bronchitis, emphysema, lung cancer, progressive massive fibrosis and silicosis
- injury, for example eye irritation and eye damage. [9]
PCBU’s, Operators and Workplaces can manage risks of exposure to silica dust by selecting and implementing measures using the hierarchy of controls.

FIGURE 9: THE HIERARCHY OF CONTROL MEASURES.
DISCUSSION
Workers must not be exposed to levels of silica dust greater than 0.05 mg/m3 over an eight hour working day, for a five day working week.
To minimize the risk of silica exposure during abrasive blasting, it is important to follow the recommended safety guidelines and regulations .
General Requirements.
- Using alternative abrasive materials that are less hazardous, such as garnet, aluminium oxide.
- Using appropriate blasting equipment, such as a ventilated blasting cabinet or a blast room with proper ventilation systems.
- Using personal protective equipment (PPE), such as a respirator, gloves, and eye protection.
- Limiting the duration and frequency of the blasting process.
- Conducting regular air monitoring to measure the levels of silica in the air.
By following these guidelines and regulations, it is possible to minimise the risk of silica exposure during abrasive blasting and ensure the health and safety of workers and others in the vicinity of the blasting process.

Figure 10: Abrasive Types – Excess dust generated by poor quality abrasive material (soft, or crushed fractured material) increase the potential silica dust exposures.

Figure 11: Excess dust generated by poor quality abrasive material compared to good quality material.
Equipment Options

Figure 12: Alternatives are available – Vacuum Blasting is utilitarian by nature – risk averse to exposure by silica dust generation. Equipment alternatives are multi sized for many applications – Vacuum Blasting options include full media recovery, dust and contaminants.
Wet Blast Equipment

Figure 14: Wet Blast Equipment alternatives offer suppression of dust.
CONCLUSIONS
ACKNOWLEDGMENTS
Contributions by the following businesses and persons are gratefully acknowledged:
BlastOne International
GMA Garnet Group
Fred Salome
Australasian Corrosion Association
Commercial confidences and Public Information of Safe Work Australia.
References
AZO Minerals [1]
Silicosis and Silicate Disease Committee [2]
Safe Work Australia [3,9]
GMA Australia [5]
Australian Code of Practice – Abrasive Blasting [7,8]
BlastOne International [4,6]
AUTHOR DETAILS
Craig Reynolds is a Project Manager for Asset Preservation with BlastOne International and is a Certified NACE II Coating Inspector. His Corrosion Mitigation experiences are over 2 decades within the industries of Marine, Energy, Minerals and Offshore Infrastructure, have been conducted across the USA, Indonesia, Malaysia, Australia and New Zealand.